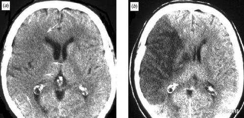
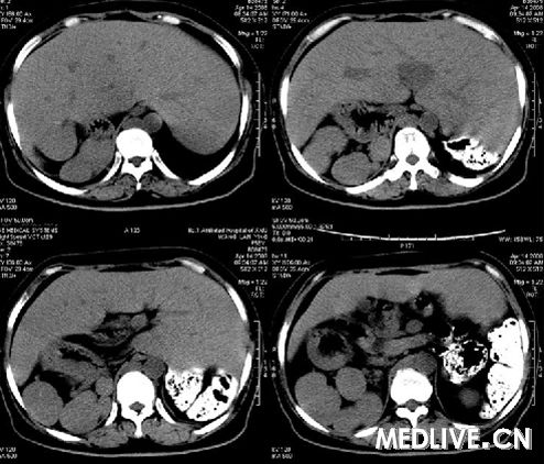
在医学的广阔领域中,有时会出现令人难以置信的奇迹,我们要探讨的是一个令人费解的医学案例:一名25岁年轻人与一位72岁高龄老人的CT片竟然呈现出惊人的相似性,这究竟揭示了人类身体的何种奥秘?让我们一起走进这个充满未知的故事。
在一个风和日丽的午后,医院里进行了一次特殊的对比研究,研究的主角并非其他,而是两张截然不同的CT片,一张属于一个充满活力的年轻人,年仅25岁;另一张则是一位年近古稀的老人,已经度过了72个春秋,按照常理,这两者的身体状况应该有着天壤之别,令人惊讶的是,他们的CT片上的某些影像竟然如此相似。
我们先来探讨那位年轻的25岁患者,他正处于生命的黄金时期,身体各项功能应该处于巅峰状态,由于现代生活的压力与不良习惯,他的身体已经出现了一些隐患,虽然整体状况良好,但某些器官已经开始出现轻微的退化和炎症。
再来看那位72岁的老人,一般人认为,这个年龄的人身体应该出现了诸多衰老迹象,通过CT片,我们发现老人的身体某些部位虽然有些磨损,但整体结构却相当健康,他的骨骼密度、内脏功能以及血管状况都令人惊讶地保持得很好。

这两张CT片的相似性不仅仅体现在表面上的影像特征,更深层次地揭示了人类身体的复杂性和多样性,为什么一个年轻人的身体会出现老年化的迹象?而一个老年人的身体又能保持如此良好的状态?这背后究竟隐藏着怎样的原因?
对于这个问题,我们或许可以从生活方式、遗传因素、环境因素等多个角度进行深入探讨,不可否认的是,现代社会的压力、污染、不良饮食习惯等都对我们的身体造成了影响,但同样,个体的差异、基因的优势以及个人生活习惯的选择也起到了关键作用。
对于那位年轻人来说,或许他的基因中隐藏着某种易导致器官退化的风险,同时他的生活习惯也可能加速了这一过程,而对于老人来说,或许他一生中的饮食、锻炼、心态等都为他的身体带来了超乎寻常的保养效果。

这一案例给我们带来的启示是:我们不能简单地根据年龄来判断一个人的身体状况,每个人的身体都是独一无二的,受到多种因素的影响,我们应该更加关注个体的健康状况,而不是简单地以年龄为标准进行分类。
这一案例也提醒我们,要珍惜自己的身体,注重健康的生活方式,无论年龄如何,我们都应该努力保持一个健康的生活方式,让身体在最佳状态下运行,只有这样,我们才能享受到真正的生命之美。
这一案例将继续引发医学界的研究和探索,为何这两张CT片会如此相似?背后隐藏着怎样的奥秘?我们期待着科学的进步,为我们揭示更多的身体之谜。

在这个充满未知的世界里,我们对自己的身体仍然有着无尽的好奇和探索欲望,让我们继续关注这一案例,也希望每个人都能珍惜自己的身体,过上健康、快乐的生活。








